Skip to content Skip to sidebar Skip to footer

Protese Total Inferior

Protese Total Dentadura Clinica Odontologica Dr Jose Renato

Protese Total Dentadura Clinica Odontologica Dr Jose Renato

Protese total inferior. Implante total com prótese em porcelana também conhecida como protocolo cerâmico É realizada com estrutura de metal e revestimento de porcelana. Prótese total inferior removível muco-implanto-suportada - Apoio magnético sobre implantes osteo-integrados. Essa prótese é fixada nos implantes através de parafusos devolvendo principalmente função mastigatória.

Como outros tipos a prótese dentária inferior é feita a partir do molde da arcada dentária do paciente desta forma o aparelho é personalizado e de fácil adaptação. Os dentes tem baixo. Esta é uma cirurgia que implanta hastes de prótese no osso maxilar.

A dentadura ou ponte removível pode ser trocada a cada 4 anos o. Se for totalmente desdentado é possível colocar uma prótese total removível. Este tipo de dentadura substitui o dente de apenas uma das arcadas e é indicada por permitir maior comodidade pois em muitos casos a prótese inferior é removívelPara colocar uma prótese protocolo inferior é necessário primeiro se submeter a um procedimento de.

16 Prótese total superior e protocolo inferior vista lateral esquerda. Se o paciente tiver pouca atrofia óssea pode ser então feita sem gengiva rosa. Já a manutenção da prótese dentária seu valor em média é em torno de.

No caso em que nenhum dente pode ser salvo outra opção é um implante dentário para servir de apoio à prótese. 15 Prótese total superior e protocolo inferior vista lateral direita. Um caso clínico onde foi realizado a cirurgia de extração múltipla dos dentes inferiores e a co-locação dos implantes para a colocação imediata de uma sobredentadura implanto-suportada e implanto-retida.

PRÓTESE TOTAL Planos de Orientação Superior e Inferior e Bases de prova Meio para registro e transferência das características biotipológicas individuais. Uma prótese dentária de silicone removível é uma solução para pacientes que têm ausência de alguns ou de todos os seus dentes. Esse tipo de trabalho é muito procurado por aqueles pacientes que perderam todos seus dentes do arco inferior mandíbula ou aqueles pacientes que perderam vários dentes e usam algum tipo de prótese que não fica estável na boca e por essa razão.

O principal diferencial deste modelo é o foco na região inferior da boca que pode exigir algumas especificações para a fixação e conforto do paciente. Métodos para obtenção da DVO em prótese total Diretos.

Imagens De Dentadura Inferior Fotografias De Stock Dentadura Inferior Depositphotos

Imagens De Dentadura Inferior Fotografias De Stock Dentadura Inferior Depositphotos

Entenda O Que Sao Proteses

Entenda O Que Sao Proteses

Protese Total Parafusada Sobre Implantes Rir Odonto

Protese Total Parafusada Sobre Implantes Rir Odonto

Dentadura De Silicone Ou Flexivel Traz Problemas Muito Alem Do Esperado

Dentadura De Silicone Ou Flexivel Traz Problemas Muito Alem Do Esperado

Protese Total Provisoria Uniqpro Caxias Do Sul

Protese Total Provisoria Uniqpro Caxias Do Sul

Restabelecimento Das Relacoes Intermaxilares Por Meio De Protese Total Convencional Editora Plena

Restabelecimento Das Relacoes Intermaxilares Por Meio De Protese Total Convencional Editora Plena

Protese Caracterizada Faz Diferenca Delano Maia Odontologia

Protese Caracterizada Faz Diferenca Delano Maia Odontologia

Protocolo Inferior Protese Total Superior Youtube

Protocolo Inferior Protese Total Superior Youtube

Dentista Sp Reabilitacao Oral Protese Total Dentadura

Dentista Sp Reabilitacao Oral Protese Total Dentadura

Protese Total Rs Odonto

Protese Total Rs Odonto

A Protese Total Delano Maia Odontologia

A Protese Total Delano Maia Odontologia

Protese Total Rs Odonto

Protese Total Rs Odonto

Protese Total Dentadura Dr Eduardo Perissinotto

Protese Total Dentadura Dr Eduardo Perissinotto

Protese Total Fique Por Dentro Da Importancia Do Dispositivo

Protese Total Fique Por Dentro Da Importancia Do Dispositivo

Reabilitacao Oral Estetica E Funcao Surya Dental

Reabilitacao Oral Estetica E Funcao Surya Dental

Protese Total Absoluta Odontologia

Protese Total Absoluta Odontologia

Reabilitacao Com Protese Total Superior E Protocolo Carga Imediata Inferior Momento Kulzer

Reabilitacao Com Protese Total Superior E Protocolo Carga Imediata Inferior Momento Kulzer

Tudo Que Voce Precisa Saber Sobre Protese Dentaria Sng Odontologia

Tudo Que Voce Precisa Saber Sobre Protese Dentaria Sng Odontologia

Protese Total Fixa

Protese Total Fixa

Dentista Sp Reabilitacao Oral Protese Total Dentadura

Dentista Sp Reabilitacao Oral Protese Total Dentadura

Tem Alguma Coisa Que Segura A Dentadura Na Boca

Tem Alguma Coisa Que Segura A Dentadura Na Boca

Andreoli Terapia

Andreoli Terapia

Reabilitacao Com Protese Total Superior E Protocolo Carga Imediata Inferior Momento Kulzer

Reabilitacao Com Protese Total Superior E Protocolo Carga Imediata Inferior Momento Kulzer

1

1

Macro Modelo Manequim Odontologico Overdenture Em Acrilico Com 2 Implantes O Ring Protese Total Inferior D Express Shopee Brasil

Macro Modelo Manequim Odontologico Overdenture Em Acrilico Com 2 Implantes O Ring Protese Total Inferior D Express Shopee Brasil

Protese Inferior Fixa Sobre Implantes Protocolo Inferior Youtube

Protese Inferior Fixa Sobre Implantes Protocolo Inferior Youtube

Protese Dentaria Em Silicone Dicas Para Trocar Dentaduras E Pontes

Protese Dentaria Em Silicone Dicas Para Trocar Dentaduras E Pontes

Vista Oclusal Da Protese Total Provisoria Download Scientific Diagram

Vista Oclusal Da Protese Total Provisoria Download Scientific Diagram

Implante Dentario Protocolo Com Fotos Protese Dentaria Protocolo

Implante Dentario Protocolo Com Fotos Protese Dentaria Protocolo

Protese Total Convencional E Implanto Retida Euro Elerati

Protese Total Convencional E Implanto Retida Euro Elerati

Montagem De Dentes Para Protese Total Dupla Momento Kulzer

Montagem De Dentes Para Protese Total Dupla Momento Kulzer

Odontologia Caldeira Protocolo Inferior E Protese Total Superior Com Gengiva Caracterizada Protese Implante Odotologia Reabilitacao Facebook

Odontologia Caldeira Protocolo Inferior E Protese Total Superior Com Gengiva Caracterizada Protese Implante Odotologia Reabilitacao Facebook

Protese Inferior Comprar Mais Barato No Submarino

Protese Inferior Comprar Mais Barato No Submarino

Protese Total Ii Especializar Protese Dental

Protese Total Ii Especializar Protese Dental

Proteses Moveis Saiba Mais Sobre As Dentaduras Sorridents

Proteses Moveis Saiba Mais Sobre As Dentaduras Sorridents

Protese Total Dentadura Ou A Famosa Chapa Ideali Odonto Blog

Protese Total Dentadura Ou A Famosa Chapa Ideali Odonto Blog

Caso Clinico De Overdenture Arcsys

Caso Clinico De Overdenture Arcsys

Protese Total E Uma Protese Dentaria Odontologia Dalapa Facebook

Protese Total E Uma Protese Dentaria Odontologia Dalapa Facebook

Protese Fixa Sobre Implantes Superior E Inferior Implart Protese Fixa

Protese Fixa Sobre Implantes Superior E Inferior Implart Protese Fixa

Entenda De Vez O Que Sao Protese Total Imediata Laboratorio Ama

Entenda De Vez O Que Sao Protese Total Imediata Laboratorio Ama

Como Fixar Mais A Dentadura Inferior Youtube

Como Fixar Mais A Dentadura Inferior Youtube

Exame Clinico Intraoral Com A Protese Total Superior E A Protese Total Download Scientific Diagram

Exame Clinico Intraoral Com A Protese Total Superior E A Protese Total Download Scientific Diagram

O Que Sao Proteses Parciais E Totais I Rio Odontologia

O Que Sao Proteses Parciais E Totais I Rio Odontologia

Protese Dentaria Tudo Que Voce Precisa Saber Para Um Sorriso Bonito

Protese Dentaria Tudo Que Voce Precisa Saber Para Um Sorriso Bonito

Protese Total Parafusada Sobre Implantes Rir Odonto

Protese Total Parafusada Sobre Implantes Rir Odonto

Proteses Dentarias Tipos E Higienizacao Adequada Portal Da Saude

Proteses Dentarias Tipos E Higienizacao Adequada Portal Da Saude

Coluna Protese Total Como Utilizar O Conceito Da Zona Neutra Para Otimizar A Protese Total Inferior Editora Plena

Coluna Protese Total Como Utilizar O Conceito Da Zona Neutra Para Otimizar A Protese Total Inferior Editora Plena

Protese Inferior Modelo O Ring

Protese Inferior Modelo O Ring

1

1

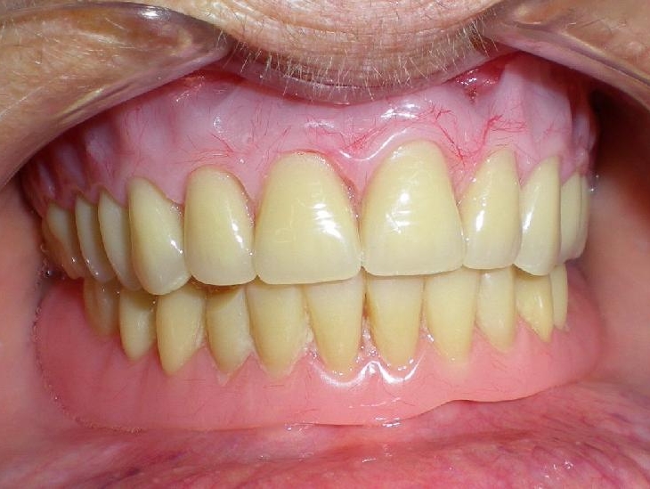
Desse modo para substituir todos os dentes da arcada pode-se utilizar a prótese total superior e a prótese total inferior para suas respectivas arcadas.

Assim ela consegue devolver ao paciente todas as funções que. A prótese garante um sorriso e uma mastigação saudáveis. Prótese Dentária Flexível de Silicone 1 unidade R 159100. Também é chamada metalocerâmica. A prótese total é um dispositivo que possui o objetivo de repor todos os dentes faltosos de uma determinada arcada da boca. Boos dinamômetro deglutição ou de Monson DVO e RC e máscara facial. Explicando de maneira simples é uma prótese fixa sobre implantes dentários. Esse tipo de trabalho é muito procurado por aqueles pacientes que perderam todos seus dentes do arco inferior mandíbula ou aqueles pacientes que perderam vários dentes e usam algum tipo de prótese que não fica estável na boca e por essa razão. Assim um trabalho fixo sobre implantes como a prótese protocolo inferior oferece vantagens e surge como um ótima opção de reabilitação bucal.


A prótese total é um dispositivo que possui o objetivo de repor todos os dentes faltosos de uma determinada arcada da boca. R 66 sessenta reais. Assim ela consegue devolver ao paciente todas as funções que. Desse modo para substituir todos os dentes da arcada pode-se utilizar a prótese total superior e a prótese total inferior para suas respectivas arcadas. 14 Prótese total superior e protocolo inferior harmonia estética e funcional. O principal diferencial deste modelo é o foco na região inferior da boca que pode exigir algumas especificações para a fixação e conforto do paciente. Como outros tipos a prótese dentária inferior é feita a partir do molde da arcada dentária do paciente desta forma o aparelho é personalizado e de fácil adaptação.

Post a Comment for "Protese Total Inferior"